Stomatologie Ondřejov – váš partner pro zdravý úsměv

Vítejte v naší ordinaci, kde se staráme o zuby celé rodiny. Nabízíme vše od pravidelných kontrol a čištění po složité zákroky jako implantáty nebo bělení. Naše moderní vybavení a přátelský přístup vám pomohou cítit se v křesle zubaře pohodlně.

Kompletní služby pod jednou střechou

U nás najdete preventivní vyšetření, dentální hygienu, opravy kazu, ortodoncii i estetické zákroky. Každý pacient dostane individuální plán, protože každý úsměv je jiný. Pracujeme rychle, ale pečlivě – vaše zdraví je pro nás první.

Proč si vybrat naši ordinaci

Máme dlouholeté zkušenosti a tým, který se neustále vzdělává. Díky tomu můžeme nabídnout špičkové techniky za rozumné ceny. Přijďte na první návštěvu, zjistíte, že návštěva zubaře může být i příjemná.

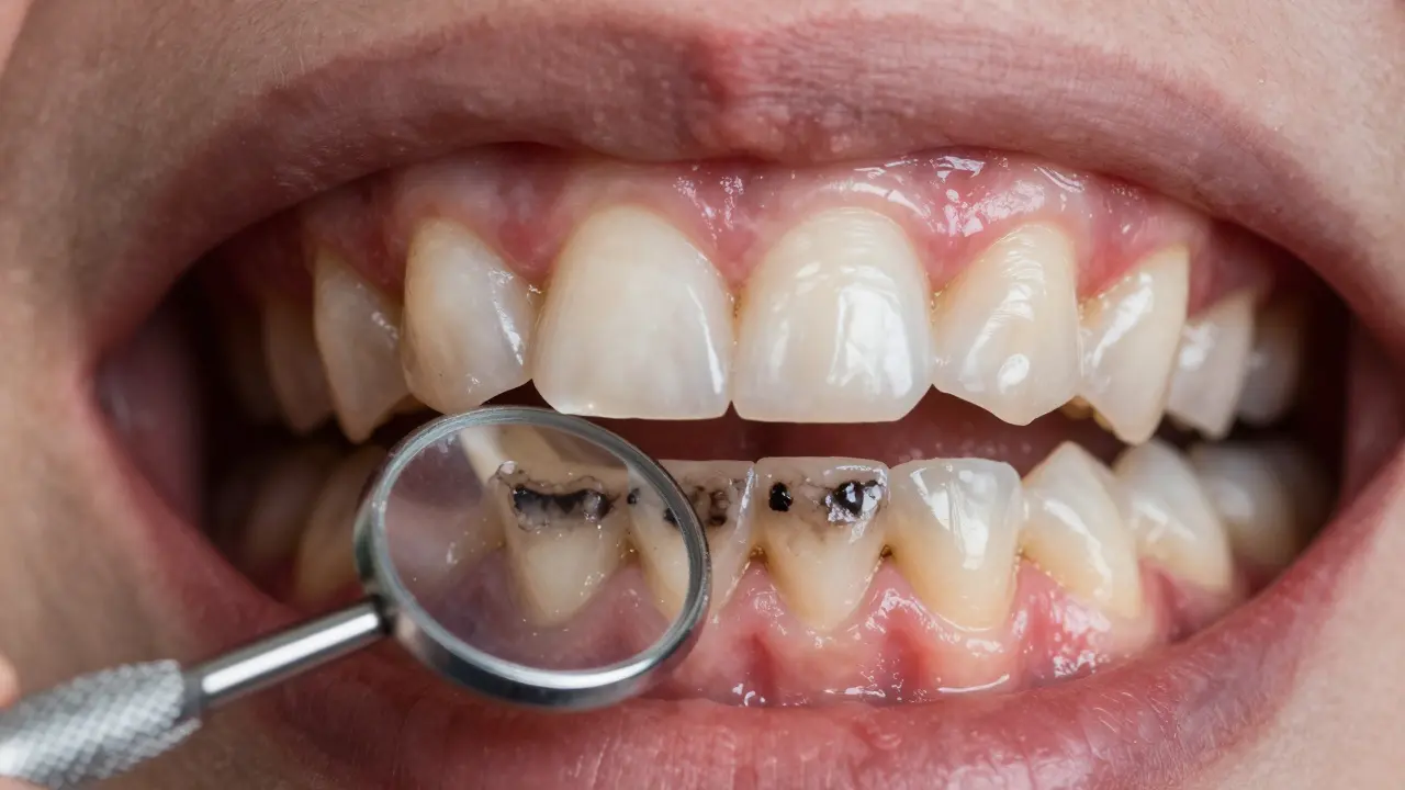
Proč je mezizubní kaz tak nebezpečný? Skrytá hrozba, kterou přehlížíte

Proč je mezizubní kaz tak nebezpečný? Skrytá hrozba, kterou přehlížíte

Mezizubní kaz je skrytá hrozba, kterou většina lidí přehlíží. Vzniká mezi zuby, kde kartáček nedosáhne, a může vést k ztrátě zubu, zánětu dásní a drahým léčbám. Zjistěte, proč je tak nebezpečný a jak ho efektivně předcházet.

Číst více
Co pomáhá na bolest osmiček? Praktické rady pro bolest předních zubů

Co pomáhá na bolest osmiček? Praktické rady pro bolest předních zubů

Bolest osmiček může odrážet do předních zubů, což vede k nesprávné diagnóze. Zjistěte, co opravdu pomáhá: od domácích opatření přes léky až po vyjmutí. Praktické rady pro české pacienty.

Číst více
Nasazovací zuby versus zubní implantáty: Které jsou skutečně lepší?

Nasazovací zuby versus zubní implantáty: Které jsou skutečně lepší?

Nasazovací zuby a zubní implantáty jsou dvě hlavní volby pro náhradu zubů. Které jsou skutečně lepší? Záleží na vašem zdraví, rozpočtu a životním stylu. Zjistěte, proč mnoho lidí volí implantáty, ale proč protézy stále mají své místo.

Číst více
Kdy se neplatí poplatek za pohotovostní zubní péči v Praze?

Kdy se neplatí poplatek za pohotovostní zubní péči v Praze?

Zjistěte, kdy se v Praze neplatí poplatek za pohotovostní zubní péči. Pravidla, která zná málo lidí, ale mohou ušetřit stovky korun. Neplatíte, když jde o zdravotní nouzi, když jste se snažili dostat na termín, nebo když ordinace to slibuje ve své cenové listině.

Číst více
Estetické fazety a úsměv celebrit: Tajemství odhaleno

Estetické fazety a úsměv celebrit: Tajemství odhaleno

Tajemství dokonalých úsměvů celebrit leží v estetických fazetách - tenkých keramických plátcích, které přesně přepracují tvar a barvu zubů. Není to jen bělení. Je to přestavba, která mění život.

Číst více
Kdy hradí rovnátka pojišťovna? Vše, co potřebujete vědět o hrazení fixních rovnátek veřejnou zdravotní pojištěním

Kdy hradí rovnátka pojišťovna? Vše, co potřebujete vědět o hrazení fixních rovnátek veřejnou zdravotní pojištěním

Pojistné společnosti hradí fixní rovnátka jen u vážných funkčních vad, ne pro estetiku. Záleží na věku, typu vadby a zdravotním riziku. Zjistěte, kdy máte nárok a jak postupovat.

Číst více
Ultrasonický čistič zubů: Proč je stále populárnější

Ultrasonický čistič zubů: Proč je stále populárnější

Ultrasonický čistič zubů je stále populárnější, protože efektivně odstraňuje zubní kámen a biofilm, které kartáček a nit nedokážou. Zlepšuje zdraví dásní, snižuje krvácení a zápach z úst. V Česku ho v roce 2025 vlastnilo přes 180 000 domácností.

Číst více
Kolik stojí celokeramická korunka v roce 2026? Přehled cen a co ovlivňuje cenu

Kolik stojí celokeramická korunka v roce 2026? Přehled cen a co ovlivňuje cenu

Zjistěte, kolik skutečně stojí celokeramická korunka v roce 2026. Přehled cen podle materiálu, místa výroby a kvality. Co ovlivňuje cenu a jak si vybrat správnou volbu.

Číst více
Keramické zuby: Jak zvládnout návrat do práce bez starostí

Keramické zuby: Jak zvládnout návrat do práce bez starostí

Keramické zuby vám umožní vrátit se do práce rychle a bez starostí. Víte, jak se chovat v prvních dnech, jak se čistit a co vyhnout, abyste je nepoškodili? Zjistěte, jak přirozeně obnovit úsměv a nechat si to nikdo nevšimnout.

Číst více
5 tipů, jak zvládnout první týden s fixními rovnátky

5 tipů, jak zvládnout první týden s fixními rovnátky

První týden s fixními rovnátky může být náročný, ale není to nemožné. Zjisti, jak zvládnout bolest, stravu a hygienu, aby ti to nezničilo náladu. Více než 70 % lidí zvládne první týden s minimem problémů, pokud ví, co dělat.

Číst více