Zubní péče v Ondřejově – vše, co potřebujete vědět

Udržet zuby zdravé není jen otázka pravidelných návštěv zubaře. Je to každodenní péče, výběr správných produktů a včasná reakce na problémy. V naší ordinaci Stomatologie Ondřejov vám pomůžeme s celým spektrem služeb, od základní prevence až po pokročilé náhrady.

Proč je pravidelná péče tak důležitá?

Každý den na vaše zuby útočí plak, cukr a kyseliny. Pokud nečistíte a nevyužíváte profesionální kontrolu, můžete si rychle vytvořit zubní kaz nebo zánět dásní. Pravidelná kontrola u nás odhalí i ty nejmenší změny, které si sami nevšimnete. Navíc díky dentální hygieně se sníží riziko onemocnění srdce a cukrovky – zdraví úst je úzce spjato s celkovým zdravím těla.

Jak probíhá ošetření v naší ordinaci?

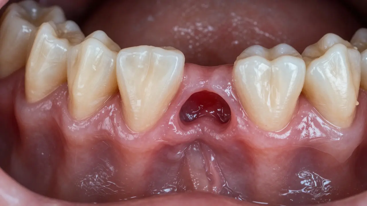
První krok je konzultace. Poslechneme si vaše potíže, podíváme se na rentgen a naplánujeme krok, který bude nejvhodnější. Pokud potřebujete čistotu – provedeme profesionální čištění a ošetříme dásně. V případě kazu zjistíme, zda stačí výplň nebo je nutná korunka. A pokud už chybí zub, nabízíme různé náhrady – od klasických protéz po moderní implantáty a teleskopické náhrady.

Jedním z našich oblíbených řešení jsou teleskopické zubní náhrady. V článku "Vše, co potřebujete vědět o teleskopických zubních náhradách" vysvětlujeme, jak fungují, jaké mají výhody a jak se o ně starat. Teleskopické náhrady spojují pevnost fixních protéz s pohodlím vyjímatelných – ideální volba, když chcete stabilitu a snadnou údržbu.

Naše ordinace je vybavena moderní technikou: digitální rentgen, intraorální kamera a 3D skener. To nám umožňuje přesně naplánovat každý zákrok a minimalizovat nepohodlí. Navíc se staráme, aby prostředí bylo klidné a přátelské – děti i dospělí se u nás cítí uvolněně.

Nejste si jistí, co je pro vás nejlepší? Naši zubní specialisté jsou tu, aby vám vysvětlili všechny možnosti, odpověděli na otázky a pomohli vybrat řešení, které bude sedět vašemu rozpočtu i životnímu stylu. Věříme, že informovaný pacient je spokojený pacient.

Chcete si objednat termín? Stačí nám zavolat nebo vyplnit krátký formulář na webu. Rádi vám najdeme čas, který vám vyhovuje, a pomůžeme vám vrátit se k úsměvu, na který budete hrdí.

Co je kyretáž zubů a kdy je potřeba?

Co je kyretáž zubů a kdy je potřeba?

Kyretáž zubů je hluboké čištění pod dásní při parodontitidě. Zabraňuje ztrátě zubů a ničení kosti. Víte, kdy ji potřebujete a co dělat po léčbě?

Číst více
Jak si čistit zuby zubní nití správně - krok za krokem

Jak si čistit zuby zubní nití správně - krok za krokem

Zjistěte, jak správně čistit zuby zubní nití, abyste předešli zánětům dásní a ztrátě zubů. Praktický návod s tipy od Curaprox a odpovědi na nejčastější otázky.

Číst více
Jak často vyplachovat ústa peroxidem vodíku pro bělení zubů?

Jak často vyplachovat ústa peroxidem vodíku pro bělení zubů?

Peroxid vodíku může bělit zuby, ale příliš časté používání poškozuje sklovinku a dásně. Zjistěte, jak často je bezpečné ho používat a co je lepší alternativou k bělící zubní pastě.

Číst více
Kdy začne zubní kaz bolet? Včasné příznaky a co dělat, než bude příliš pozdě

Kdy začne zubní kaz bolet? Včasné příznaky a co dělat, než bude příliš pozdě

Zubní kaz neboje hned, když začne. Citlivost na studené nebo sladké je první varování. Jak se kaz vyvíjí a kdy už je příliš pozdě na jednoduché řešení - všechno, co potřebujete vědět.

Číst více
Odstranění zubního kamene: Proč byste měli důvěřovat profesionálům

Odstranění zubního kamene: Proč byste měli důvěřovat profesionálům

Zubní kámen se tvoří i u těch, kdo čistí zuby denně. Pouze profesionál ho může bezpečně odstranit. Nečekajte na bolest - zánět dásní může vést ke ztrátě zubů.

Číst více
Proč bolí zub pod korunkou? Příčiny a co s tím dělat

Proč bolí zub pod korunkou? Příčiny a co s tím dělat

Bolest pod metalokeramickou korunkou není normální. Zjistěte, proč to může nastat, jak to léčit a co dělat, abyste předešli ztrátě zubu. Nečekejte, až bolest zmizí sama.

Číst více
Jak odstranit vodní kámen ze zubů: praktické rady a co dělat, když ho už nemůžete sami odstranit

Jak odstranit vodní kámen ze zubů: praktické rady a co dělat, když ho už nemůžete sami odstranit

Vodní kámen na zubech neodstraníte doma - jen profesionální čištění pomůže. Zjistěte, jak se tvoří, proč je nebezpečný a jak ho efektivně odstranit bez poškození zubů.

Číst více
Jak zachránit mléčné zuby: praktické kroky pro prevenci zubního kamene u dětí

Jak zachránit mléčné zuby: praktické kroky pro prevenci zubního kamene u dětí

Zubní kámen u dětí není jen estetický problém - může vést k ztrátě zubů a poškození trvalých zubů. Zjistěte, jak ho rozpoznat, odstranit a především jak zabránit jeho vzniku.

Číst více
Odstranění zubního kamene: Jak to chrání vaše zuby a dásně dlouhodobě

Odstranění zubního kamene: Jak to chrání vaše zuby a dásně dlouhodobě

Odstranění zubního kamene je klíčové pro prevenci zánětů dásní a ztráty zubů. Naučte se, jak kámen vzniká, jak ho odstranit a proč ho nesmíte ignorovat.

Číst více
Co poškozuje zubní sklovinu? Nejčastější příčiny a jak jim předcházet

Co poškozuje zubní sklovinu? Nejčastější příčiny a jak jim předcházet

Zubní sklovinu poškozují kyselé potraviny, bruxismus, agresivní čištění i některé léky. Zjistěte, co ji ničí a jak ji chránit, aby vám zuby vydržely celý život.

Číst více