Zubní plak: Co to znamená pro vaše dásně a jak ho efektivně odstranit

Zubní plak: Co to znamená pro vaše dásně a jak ho efektivně odstranit

Výpočet rizika onemocnění dásní

Vyplňte prosím několik otázek

Výsledek výpočtu

0

Hlavní rizikové faktory

Tip: Největší riziko zánětu dásní máte, pokud nečistíte pravidelně, nepoužíváte mezizubní čištění a necháváte plak přetrvávat. Pravidelné čištění zubů a dásní je klíč k dlouhodobému zdraví.

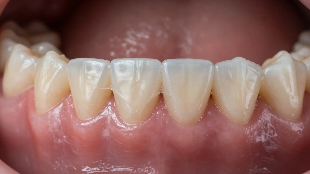
Zubní plak není jen ten lepkavý film, který cítíte na zubech po snídani. Je to živá kolonie bakterií, která se každý den znovu vytváří a hrozí vašim dásním i zubům - pokud ho neodstraníte. Mnoho lidí si myslí, že když si čistí zuby, stačí jen očistit povrch zubů. Ale to nestačí. Plak se tvoří přesně tam, kde se zub dotýká dásně - a tam začíná většina problémů.

Co je vlastně zubní plak?

Zubní plak je biofilm - tenká, neviditelná vrstva, kterou tvoří desítky druhů bakterií, slinné bílkoviny a zbytky jídla. Nejde o špínu, kterou byste mohli jen opláchnout vodou. Je to živý systém, kde bakterie komunikují, množí se a vyrábějí kyseliny. Tyto kyseliny ničí sklovinku zubů a způsobují kazy. Ale největší hrozbu pro vaše zdraví představují právě dásně.

Když plak zůstává na dásních déle než 24 hodin, začínají bakterie uvolňovat toxiny. Tyto látky podráždí dásně. Výsledek? Červenost, otok, krvácení při čištění. To je první fáze zánětu dásní - gingivitida. A to je ještě jen začátek.

Proč se plak mění v zubní kámen?

Plak je pořád měkký. Pokud ho neodstraníte během 2-3 dní, začne se vápnit. Sliny obsahují vápník a fosfáty - a ty se ukládají do plaku. Výsledkem je zubní kámen - tvrdá, žlutá nebo hnědá vrstva, která už se nedá odstranit běžným kartáčkem.

Zubní kámen je problém, protože:

  • Je to hrubý povrch, na kterém se rychleji usazuje nový plak
  • Pod ním se bakterie schovávají přímo u dásně - tam, kde kartáček nedosáhne
  • Přetrvává i po čištění - jen stomatolog ho může odstranit

Podle studie České stomatologické společnosti z roku 2024 má více než 60 % dospělých v Česku alespoň mírný zubní kámen. A většina z nich si toho ani nevšimne - dokud nezačnou dásně krvácet nebo nebudou citlivé na studené nebo horké jídlo.

Jak plak poškozuje dásně?

Dásně nejsou jen „červený obal“ kolem zubů. Jsou to živé tkáně s vlastními cévami, nervy a imunitními buňkami. Když plak trvale zůstává na dásních, tělo začne reagovat jako na infekci. Vzniká zánět - dásně se zvětšují, stávají se měkkými a krvácí.

Pokud se to nezastaví, zánět se šíří pod dásně - do podpěrných tkání zubu. To je paradentitida. A to je už jiná hra. V této fázi se ztrácí kost kolem zubu. Zuby se začnou hýbat. A v konečném důsledku - padají.

Nikdo nechce ztratit zub. Ale 75 % případů ztráty zubů u dospělých je přímo spojeno s nelečeným zánětem dásní. A většina těchto případů začíná jen s malým množstvím plaku, který lidé ignorují.

Přeměna měkkého zubního plaku na tvrdý zubní kámen

Co dělat, když vidíte krvácení dásní?

Když si všimnete, že vám dásně krvácí při čištění, neznamená to, že máte „slabé dásně“. Znamená to, že plak už je tam dost dlouho. Neznamená to, že máte špatnou dědičnost. Znamená to, že potřebujete změnit způsob čištění.

První krok je jednoduchý: začněte čistit zuby dvakrát denně - ráno a večer - alespoň dvě minuty. Používejte kartáček s jemnými štětinami a čistěte nejen zuby, ale i hranici mezi zubem a dásní. Většina lidí čistí jen zuby - a zapomínají na dásně.

Držte kartáček pod úhlem 45 stupňů k dásni a pohybujte ho jemně, jako byste škrábali po kameni. Nepoužívejte sílu. Příliš tvrdé čištění poškozuje dásně ještě víc.

Doplňte čištění zubní nití nebo mezizubním kartáčkem. Plak se tvoří i mezi zuby - tam, kde kartáček nedosáhne. Více než 80 % plaku se nachází právě v těchto místech. Pokud to nečistíte, plak tam zůstává - a dásně to neodpustí.

Je potřeba čistit i jazyk?

Ano. Jazyk je další hnízdo bakterií. Na jeho povrchu se hromadí zbytky jídla a mrtvé buňky. Bakterie z jazyka se přenášejí zpět na zuby a dásně. Čištění jazyku není jen pro čerstvý dech - je to součást ochrany dásní.

Používejte jazykový kartáček nebo jednoduše kartáček zubní - jemně přejděte od zadní části jazyka dopředu. Nepoužívejte silné dráždění. Stačí lehký pohyb. Dva týdny pravidelného čištění jazyku a uvidíte, že krvácení dásní klesá.

Když se plak změní v kámen, co dělat?

Neexistuje domácí způsob, jak odstranit zubní kámen. Neexistuje ani zubní pasta, která by ho „rozpustila“. Když se plak ztvrdl, jediné řešení je profesionální čištění u stomatologa.

Stomatolog použije ultrazvukový přístroj, který rozpadne kámen na mikročástice, a poté jemně odstraní zbytky plaku. Toto čištění není bolestivé - pokud se nezdržujete s ním příliš dlouho. Pokud už máte kámen na několika zubech, čištění může trvat 30-60 minut.

Odporučujeme čištění každých 6-12 měsíců - i když se vám nic nezdá. Většina lidí čeká, až začnou bolet zuby. Ale když bolest nastane, je už pozdě. Zánět dásní je tichý - a nečeká, až se rozhodnete, že „to už je čas“.

Zdravé dásně proti zánětlivým dásním s kamenem

Co ještě můžete udělat?

Navíc k čištění:

  • Používejte zubní pastu s fluoridem - pomáhá zpevňovat sklovinku a snižuje riziko kazu
  • Vyhněte se častému pití sladkých nápojů - cukr je „potrava“ pro bakterie v plaku
  • Pijte vodu po jídle - opláchnete zbytky jídla a snížíte kyselost v ústech
  • Zvažte použití ústní vody s chlorhexidinem - ale jen krátkodobě a podle doporučení stomatologa

Nikdy nevěřte reklamám na „kouzelné“ zubní pasty, které „odstraní plak za 2 dny“. Plak se odstraňuje jen pravidelným, pečlivým čištěním - a to pořád.

Když se plak neodstraní, co se stane?

Když necháte plak a kámen, aby dělaly svou práci, může dojít k:

  • Trvalému zánětu dásní - který se nevyléčí ani po odstranění kamenů
  • Ztrátě kosti kolem zubů - a to je nevratné
  • Ztrátě zubů - i když samotné zuby jsou zdravé
  • Zvýšenému riziku srdcových onemocnění a cukrovky - studie ukazují spojení mezi zánětem dásní a celkovým zdravím těla

Nejde jen o zuby. Jedná se o vaše celkové zdraví. Dásně jsou vstupní branou do těla. Když tam je zánět, bakterie se dostávají do krve. A to může ovlivnit i srdce, mozek nebo plicní tkáň.

Závěr: Plak je váš problém - ale ne váš osud

Zubní plak je normální. Každý ho má. Ale to, co rozhoduje, je, co s ním děláte. Pokud ho čistíte pravidelně, nezůstane tam dlouho. Pokud ho ignorujete, začne ničit dásně - a pak už není pozdě jen na zuby. Je pozdě na zdraví.

Nemusíte být dokonalý. Stačí být pravidelný. Každý den dvě minuty čištění, jednou týdně nit, každých šest měsíců kontrola. To je všechno, co potřebujete, abyste si uchovali zuby i dásně na celý život.

Je zubní plak stejný jako zubní kámen?

Ne. Plak je měkká, lepkavá vrstva bakterií, kterou lze odstranit kartáčkem. Kámen je ztvrdlý plak, který se vytvořil po několika dnech, když se do něj vápník z slin usadil. Kámen lze odstranit jen u stomatologa.

Proč krvácí dásně i když si čistím zuby?

Krvácení je znamení zánětu - způsobeného plakem, který zůstává na dásních. Čištění kartáčkem může být neúčinné, pokud nečistíte správně - tedy pod úhlem 45 stupňů a nejen na zubech. Dásně reagují na zánět krvácením - to je jejich způsob, jak říct: „Pomoz!“

Může zubní plak způsobit zápach z úst?

Ano. Bakterie v plaku rozkládají zbytky jídla a vyrábějí sirovodík - plyn, který má špatný zápach. Nejčastější příčina zápachu z úst není žaludek, ale plak na zubech a jazyku.

Je nutné čistit zuby i bez zubního kameně?

Ano. I když nemáte kámen, plak se každý den znovu tvoří. Bez pravidelného čištění se z něj za týden stane kámen. Prevence je vždy jednodušší než léčba.

Jak často bych měl chodit na čištění k stomatologovi?

Každých 6-12 měsíců. Pokud máte historii zánětu dásní, kámen nebo cukrovku, doporučují stomatologové čištění každé 3-4 měsíce. To není luxus - je to ochrana vašich zubů a celkového zdraví.